An outbreak of tuberculosis within Kansas City in the United States has been ongoing since Jan. 2024 and has highlighted new trends of TB in the United States. According to March 2025 U.S. Centers for Disease Control and Prevention data, the TB rate in Kansas increased by 148% from 2024–25.
This alarming upward trend has been accompanied by an increased number of cases across the United States. In fact, in March 2025, data from the CDC showed more than 10,300 reported TB cases in 2024. This is indicative of an 8% increase in cases since 2023 and the highest number of reported TB cases in the US since 2011.
The incidence of tuberculosis cases is spreading beyond Kansas City, with a new case reported in a Chicago high school on Monday.
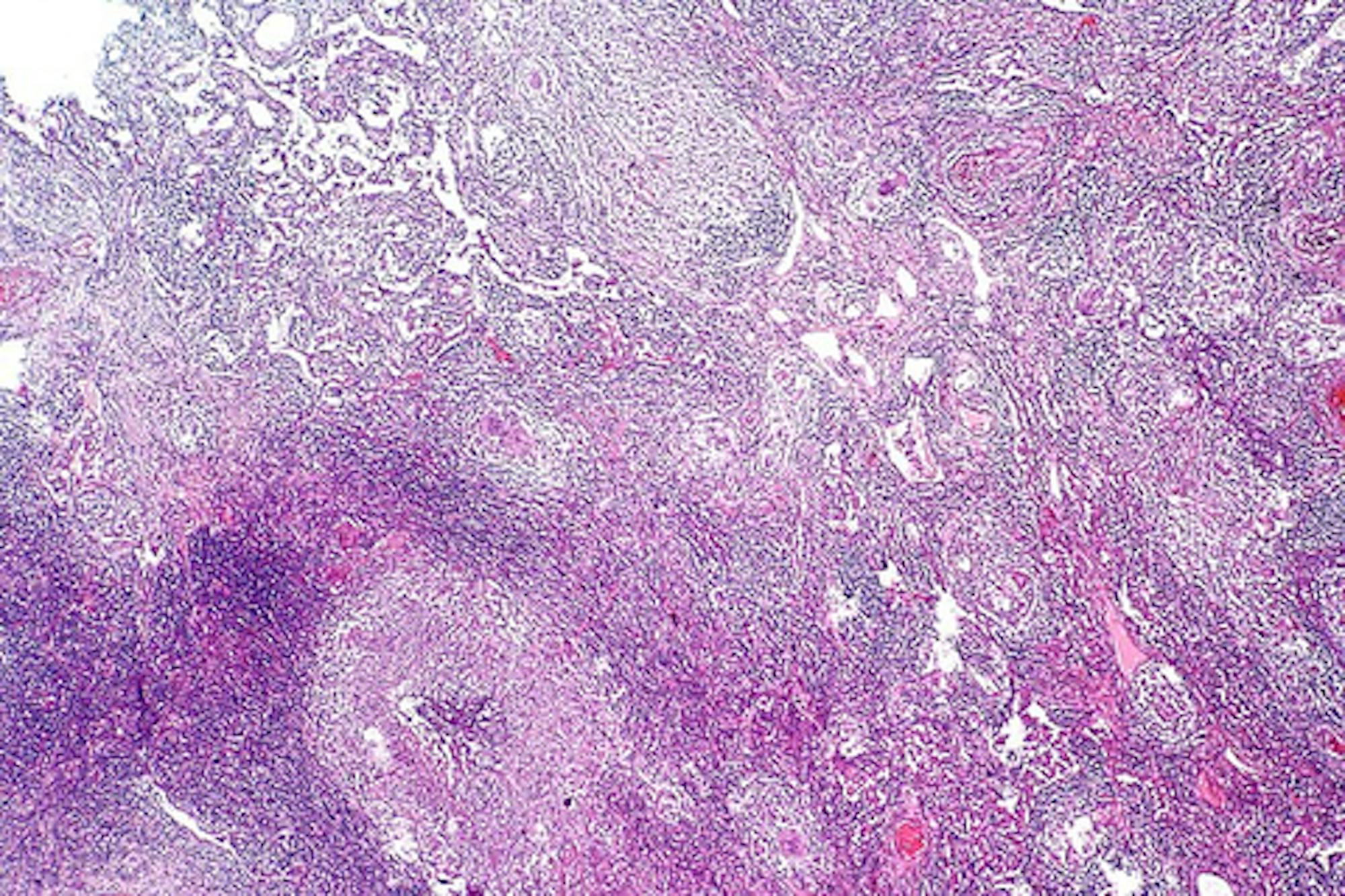
Tuberculosis is a disease primarily caused by the pathogenic bacteria mycobacterium tuberculosis, but can also be caused by other mycobacteria. These rod-shaped microorganisms can be found in soil and water, and are responsible for illnesses such as tuberculosis and leprosy. There are two types of mycobacteria that can cause tuberculosis in humans: mycobacterium tuberculosis and mycobacterium bovis. However, tuberculosis is most commonly caused by mycobacterium tuberculosis.
Tuberculosis is spread through respiratory droplets in the air that can come from speaking, coughing or sneezing. When an individual becomes infected with tuberculosis, the bacteria most commonly spread to the lungs, replicate and form large masses called tubercles. These tubercles can break down lung tissue and ultimately can cause permanent damage to the lungs if untreated.
This is why timely diagnosis and effective treatment are vital when it comes to tuberculosis. Currently, there are two regimens that require anywhere from four to nine months of treatment that can lead to a 100% cure. Other considerations may further impact treatment, including the potential for individuals to have drug-resistant tuberculosis, which requires other treatment plans that may require years.
A final consideration in understanding tuberculosis is the difference between latent and active infection. When a person has an active TB infection, they will be symptomatic, able to transmit the disease and in need of immediate treatment. On the other hand, latent infections are asymptomatic and unable to transmit the disease. However, without treatment, these latent cases may become active over time, making them potentially dangerous.
On Feb. 11, the Kansas City area had 67 active reported cases, 79 latent cases and two deaths recorded. As mentioned by Jill Bronaugh, a spokesperson from the Kansas Department of Health and Environment, the department is “working with and following the guidance of the CDC.”
Each patient is being screened and contact traced, and testing is being provided for free. In terms of access to treatment, the state department has promised that treatment will be given to every patient regardless of their insurance status.
Overall, protocols are continuously being put into place to work towards ending this outbreak across Kansas and in the United States. With continued interventions and implementations, it is hoped that this outbreak will be under control in the foreseeable future.



